Bài viết

Sự khác nhau giữa Mặt dán sứ Veneer & Mão sứ

Veneer sứ được biết đến như một lựa chọn với mục đích thẩm mỹ, là sự thay thế hoàn hảo cho mão răng truyền thống đối với các răng cửa bị tổn thương, vỡ mẻ, đổi màu hay hình dáng kém thẩm mỹ.

VENEER SỨ & MÃO SỨ

khác nhau cơ bản ở kỹ thuật mài sửa soạn răng

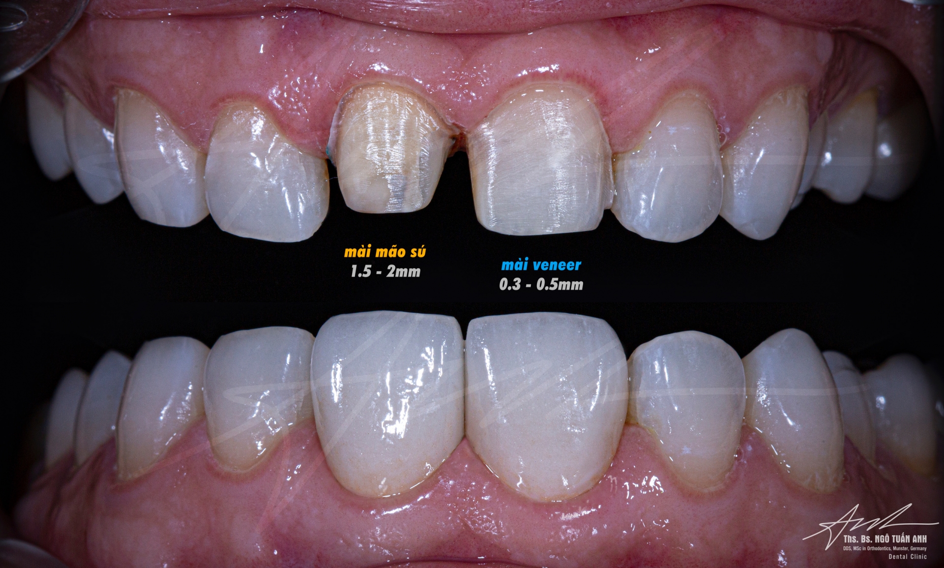
Theo như định nghĩa của Merriam-Webster, “Veneer” là một lớp vật liệu mỏng được dán dính trên bề mặt nhằm tăng tính thẩm mỹ. Veneer sứ thẩm mỹ có độ dày thực tế từ 0.4mm - 0.7mm (gần với độ dày men răng tự nhiên)

Đối với Veneer, Bác sỹ chỉ lấy đi rất ít bề mặt men răng (chỉ 0.5-1.0mm), sau đó sẽ dán miếng sứ mỏng thay thế lớp men này. Kỹ thuật này sẽ thay đổi hình dạng, màu sắc, kích thước răng, đạt thẩm mỹ nụ cười tối ưu mà ít ảnh hưởng đến tuỷ răng nhất.  

Khác với veneer, bọc mão sứ đòi hỏi phải lấy đi lớp men răng hiện có nhiều hơn (từ 1.5-2mm) và mài nhỏ toàn bộ thể tích thân răng theo ba chiều không gian; vì vậy sẽ kích thích tuỷ răng và làm tăng độ nhạy cảm trong quá trình mài răng, nên Bác sỹ cần chích tê khi mài. 

Chỉ định VENEER SỨ:

1. Răng tương đối đều đặn, ít xô lệch, khớp cắn thuận lợi 

2. Độ chênh lệch màu giữa các răng không quá mức

3. Không bị thiểu sản hay khiếm khuyết men răng đáng kể

Chỉ định BỌC MÃO SỨ:

1. Răng xoay, lêch lạc mức độ trung bình

2. Răng đã lấy tuỷ (nội nha) trước đó

3. Răng đổi màu nghiêm trọng

4. Răng sâu, vỡ lớn 



DÁN VENEER CÓ TỐT HAY KHÔNG ?

Các tài liệu nghiên cứu và y văn đã khẳng định một chiếc răng có độ cứng chắc, vững ổn và khoẻ mạnh chỉ khi mô răng được bảo tồn tối đa. 

Điều này đặc biệt quan trọng đối với những răng có kích thước nhỏ như các răng cửa do bề dày của lớp men răng rất hạn chế và tuỷ răng dễ bị tổn thương khi mô răng bị xâm lấn nhiều.

Trong hơn hai thập kỷ qua, các răng bị gãy vỡ hoặc tổn thương nặng dần dần được điều trị phục hồi bằng veneer thay cho mão răng. 

Với độ mỏng như vậy khi chưa được dán vào răng, veneer rất mỏng manh. Tuy nhiên, một khi được dán vào bề mặt răng đúng kỹ thuật, veneer và mô răng trở thành một cấu trúc đồng nhất và trở nên cực kỳ cứng chắc.

Điều quan trọng nhất là Veneer phải được đặt trên nướu, không được xâm phạm vào mô nướu. Nhờ tính tương hợp sinh học đó, một Veneer có thể tồn tại rất lâu trong miệng mà không gây bất cứ tình trạng viêm nướu nào như thường gặp ở mão răng.

 

Tuy nhiên, để sửa soạn Veneer đúng quy cách, hạn chế gãy vỡ hoặc bong sút, bạn cần phải có một khớp cắn tốt và vị trí các răng tương đối ít lệch lạc. Trong trường hợp răng sai lệch nhiều, bạn sẽ được bác sỹ chỉnh nha gắn mắc cài thẩm mỹ trong vài tháng để xoay răng về vị trí tối ưu nhất trước khi mài veneer.

Nguồn tham khảo: https://www.healthydentistry.org/veneers-vs-crowns/